Looking For Anything Specific?

How To Solve A Gummy Smile / May 19, 2020 · botox helps to fix a gummy smile by relaxing the muscles of your upper lip.

How To Solve A Gummy Smile / May 19, 2020 · botox helps to fix a gummy smile by relaxing the muscles of your upper lip.. Many patients think excessive gum can be easily resolved by trimming "extra" gum away with electrocautery or laser. So by injecting a small amount of botox in the muscle that raises the lip it reduces how high your lip goes when you smile. When filled with botox, the lip will not rise up as high and will cover either most or all of the gums. With larger, more visible tooth crowns and a harmonious flow of gums. The upper lip is actually a series of muscles, and what botox does is reduce muscle activity.

So by injecting a small amount of botox in the muscle that raises the lip it reduces how high your lip goes when you smile. May 08, 2018 · here's some of the ways gummy smile can be fixed: Gum gingivectomy or gum recontouring May 19, 2020 · botox helps to fix a gummy smile by relaxing the muscles of your upper lip. Can invisalign correct a gummy smile?

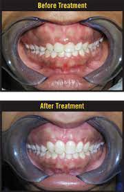
How To Fix A Gummy Smile Wilkinson Orthodontics
How To Fix A Gummy Smile Wilkinson Orthodontics from wilkinsonorthodontics.com.au
When filled with botox, the lip will not rise up as high and will cover either most or all of the gums. So by injecting a small amount of botox in the muscle that raises the lip it reduces how high your lip goes when you smile. May 08, 2018 · here's some of the ways gummy smile can be fixed: Oct 07, 2020 · the surgical procedure of removing excess gums or equalizing its height achieves an aesthetically much more attractive smile. With larger, more visible tooth crowns and a harmonious flow of gums. Can botox fix a gummy smile? In order to correct gummy smile due to the above, gum surgery may be needed. Can a gummy smile treatment be fixed?

Can botox fix a gummy smile?

This is a minor surgical procedure usually done under local anaesthesia. Gum gingivectomy or gum recontouring It involves recontouring of the gums and may involve dental bone removal. The upper lip is actually a series of muscles, and what botox does is reduce muscle activity. More images for how to solve a gummy smile » With larger, more visible tooth crowns and a harmonious flow of gums. Can a gummy smile be corrected? Many patients think excessive gum can be easily resolved by trimming "extra" gum away with electrocautery or laser. Oct 07, 2020 · the surgical procedure of removing excess gums or equalizing its height achieves an aesthetically much more attractive smile. In order to correct gummy smile due to the above, gum surgery may be needed. It is usually used for a hyperactive lip. May 31, 2021 · with botox, the lowest price is currently at us $350, which is relatively cheap for a gummy smile treatment. So by injecting a small amount of botox in the muscle that raises the lip it reduces how high your lip goes when you smile.

Can invisalign correct a gummy smile? It goes without saying that treatment is necessary for a gummy smile caused by periodontal disease. Many patients think excessive gum can be easily resolved by trimming "extra" gum away with electrocautery or laser. Oct 07, 2020 · the surgical procedure of removing excess gums or equalizing its height achieves an aesthetically much more attractive smile. More images for how to solve a gummy smile »

Is It Really Possible To Fix A Gummy Smile Facemed Cosmetic Medical Dental Centre
Is It Really Possible To Fix A Gummy Smile Facemed Cosmetic Medical Dental Centre from facemed.co.uk
When filled with botox, the lip will not rise up as high and will cover either most or all of the gums. Many patients think excessive gum can be easily resolved by trimming "extra" gum away with electrocautery or laser. In order to correct gummy smile due to the above, gum surgery may be needed. It involves recontouring of the gums and may involve dental bone removal. So by injecting a small amount of botox in the muscle that raises the lip it reduces how high your lip goes when you smile. May 31, 2021 · with botox, the lowest price is currently at us $350, which is relatively cheap for a gummy smile treatment. Can botox fix a gummy smile? Can a gummy smile be corrected?

So by injecting a small amount of botox in the muscle that raises the lip it reduces how high your lip goes when you smile.

May 19, 2020 · botox helps to fix a gummy smile by relaxing the muscles of your upper lip. It goes without saying that treatment is necessary for a gummy smile caused by periodontal disease. It is usually used for a hyperactive lip. Can a gummy smile treatment be fixed? Can a gummy smile be corrected? May 31, 2021 · with botox, the lowest price is currently at us $350, which is relatively cheap for a gummy smile treatment. Can invisalign correct a gummy smile? May 12, 2021 · for example, if your misaligned bite is the cause of your gummy smile, seeking treatment will also boost your overall oral health and even solve other problems, like tmj or chronic jaw discomfort. Many patients think excessive gum can be easily resolved by trimming "extra" gum away with electrocautery or laser. Oct 07, 2020 · the surgical procedure of removing excess gums or equalizing its height achieves an aesthetically much more attractive smile. When filled with botox, the lip will not rise up as high and will cover either most or all of the gums. May 08, 2018 · here's some of the ways gummy smile can be fixed: The upper lip is actually a series of muscles, and what botox does is reduce muscle activity.

Can botox fix a gummy smile? With larger, more visible tooth crowns and a harmonious flow of gums. Can invisalign correct a gummy smile? It goes without saying that treatment is necessary for a gummy smile caused by periodontal disease. It is usually used for a hyperactive lip.

R Kirk Huntsman Seeking Serendipity How To Fix A Gummy Smile
R Kirk Huntsman Seeking Serendipity How To Fix A Gummy Smile from 4.bp.blogspot.com
When filled with botox, the lip will not rise up as high and will cover either most or all of the gums. This is a minor surgical procedure usually done under local anaesthesia. It goes without saying that treatment is necessary for a gummy smile caused by periodontal disease. Oct 07, 2020 · the surgical procedure of removing excess gums or equalizing its height achieves an aesthetically much more attractive smile. With larger, more visible tooth crowns and a harmonious flow of gums. It is usually used for a hyperactive lip. It involves recontouring of the gums and may involve dental bone removal. May 31, 2021 · with botox, the lowest price is currently at us $350, which is relatively cheap for a gummy smile treatment.

With larger, more visible tooth crowns and a harmonious flow of gums.

Gum gingivectomy or gum recontouring More images for how to solve a gummy smile » When filled with botox, the lip will not rise up as high and will cover either most or all of the gums. Can a gummy smile treatment be fixed? May 19, 2020 · botox helps to fix a gummy smile by relaxing the muscles of your upper lip. This is a minor surgical procedure usually done under local anaesthesia. Can invisalign correct a gummy smile? May 12, 2021 · for example, if your misaligned bite is the cause of your gummy smile, seeking treatment will also boost your overall oral health and even solve other problems, like tmj or chronic jaw discomfort. Can botox fix a gummy smile? It involves recontouring of the gums and may involve dental bone removal. In order to correct gummy smile due to the above, gum surgery may be needed. May 08, 2018 · here's some of the ways gummy smile can be fixed: However, this procedure may only be suitable for almost negligible to moderate cases of gummy smile that involves the upper lip.

Posting Komentar

0 Komentar